Tooth Filling Cost in Banepa: Types & Procedure Guide
Have a cavity? Learn about tooth filling types, costs, and procedures at Supreme Dental Clinic in Banepa, Kavrepalanchok.
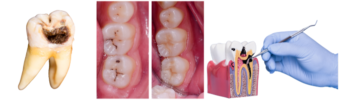
What is a Tooth Filling?
A dental filling is a treatment to restore a tooth damaged by decay (cavity) back to its normal function and shape. The dentist removes the decayed material, cleans the area, and fills the cavity with filling material.
๐ฐ Tooth Filling Prices in Banepa
- Composite Filling (Tooth-Colored): NPR 1,200 - 1,500
- GIC Filling (Glass Ionomer): NPR 800
- Zinc Oxide Filling (Temporary): NPR 600
- DCM Filling: NPR 2,400
- Pit & Fissure Sealant: NPR 1,200
Signs You Need a Filling
- ๐ฆท Toothache or pain when chewing
- โ๏ธ Sensitivity to hot, cold, or sweet foods
- ๐ณ๏ธ Visible hole or pit in tooth
- โซ Dark spots or staining on tooth
- ๐ Food getting stuck between teeth
- ๐ Broken or chipped tooth
- ๐ชฅ Rough or sharp edges on tooth
Types of Fillings
1. Composite Filling (NPR 1,200-1,500)
Material: Tooth-colored resin
Pros:
- โ Matches natural tooth color
- โ Bonds directly to tooth
- โ Versatile for front and back teeth
- โ Less tooth removal needed
- โ Good durability (5-10 years)
Cons:
- โ More expensive than GIC
- โ May stain over time
- โ Takes longer to place
2. GIC Filling (NPR 800)
Material: Glass Ionomer Cement
Pros:
- โ Most affordable
- โ Releases fluoride (prevents decay)
- โ Good for children's teeth
- โ Tooth-colored
- โ Quick procedure
Cons:
- โ Less durable (3-5 years)
- โ Not ideal for heavy chewing areas
- โ May wear faster
3. Zinc Oxide Filling (NPR 600)
Material: Zinc oxide cement
Use:
- Temporary filling
- Emergency treatment
- Between RCT appointments
- Lasts 1-3 months
4. DCM Filling (NPR 2,400)
Material: Dentin Conditioning Material
Use:
- Deep cavities near nerve
- Protective base layer
- Reduces sensitivity
Filling Procedure
Step 1: Examination (5 minutes)
- Visual inspection
- X-ray if needed
- Determine filling type
Step 2: Anesthesia (5 minutes)
- Local anesthesia injection
- Wait for numbness
- Painless procedure
Step 3: Decay Removal (10-15 minutes)
- Remove decayed material with drill
- Clean and disinfect cavity
- Shape cavity for filling
Step 4: Filling Placement (10-20 minutes)
- Apply bonding agent (composite)
- Place filling material in layers
- Light cure each layer (composite)
- Shape and polish filling
Step 5: Bite Adjustment (5 minutes)
- Check bite alignment
- Adjust high spots
- Final polishing
Total Time: 30-45 minutes per tooth
Which Filling Should You Choose?
For Front Teeth:
Best: Composite Filling
Tooth-colored, aesthetic, strong enough for front teeth.
For Back Teeth (Small Cavities):
Best: Composite or GIC
Composite for durability, GIC for budget option.
For Children:
Best: GIC Filling
Releases fluoride, affordable, suitable for baby teeth.
For Deep Cavities:
Best: DCM + Composite
DCM protects nerve, composite restores tooth.
How Long Do Fillings Last?
- Composite: 5-10 years
- GIC: 3-5 years
- Zinc Oxide: 1-3 months (temporary)
- DCM: Permanent base layer
Aftercare Tips
- โ Wait until numbness wears off before eating
- โ Avoid hard foods for 24 hours
- โ Brush and floss regularly
- โ Avoid very hot/cold foods initially
- โ Regular dental check-ups
- โ Report any pain or sensitivity
Preventing Cavities
- ๐ชฅ Brush twice daily with fluoride toothpaste
- ๐งต Floss daily
- ๐ Limit sugary foods and drinks
- ๐ง Drink plenty of water
- ๐ฆท Regular dental check-ups (every 6 months)
- ๐ก๏ธ Consider dental sealants
- ๐ญ Avoid tobacco
Have a Cavity?
Get it filled before it gets worse! Book your appointment today.
Book Appointment WhatsApp: +977 9851363457FAQs
Does filling hurt?
No, done under local anesthesia. You may feel slight pressure but no pain.
Can I eat after filling?
Wait until numbness wears off (2-3 hours). Composite fillings set immediately.
Why is my tooth sensitive after filling?
Normal for 1-2 weeks. Sensitivity to hot/cold should gradually decrease.
Can fillings fall out?
Rare but possible. Contact us if filling feels loose or falls out.
Do I need to replace old fillings?
Only if worn, cracked, or leaking. We'll check during regular exams.
Contact Supreme Dental Clinic
Location: Banepa, Kavrepalanchok
Phone: +977 9851363457
Services: Tooth Fillings, RCT, Crowns, Braces, Cleaning